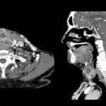
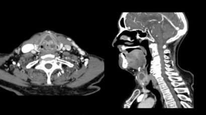
Un examen de tomografía axial computarizada (TAC) cervical es una herramienta de diagnóstico por…
El examen TAC cervical es una herramienta médica importante que ayuda en el diagnóstico…
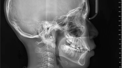
Un examen de tomografía computarizada (TAC) macizofacial es una herramienta diagnóstica esencial en la…
El examen de TAC macizofacial, o tomografía axial computarizada macizofacial, es una técnica de…
El Tac dental maxilar, también conocido como tomografía computarizada de haz cónico (CBCT, por…
El TAC cervical, o tomografía axial computarizada cervical, es una técnica de imagen médica…
