El estudio TAC macizofacial, o Tomografía Axial Computarizada macizofacial, es una técnica de imagen…
La tomografía axial computarizada (TAC) es una técnica de imagen médica que utiliza rayos…
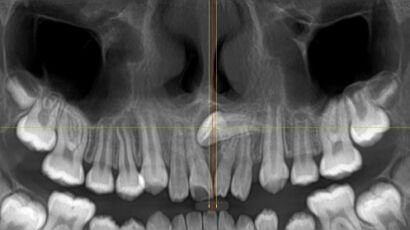
La imageneología dental es una rama de la odontología que se centra en la…
La tomografía computarizada dental maxilar es una técnica de imagen avanzada que permite obtener…
La radiología facial ha experimentado una transformación significativa en las últimas décadas, gracias a…
La radiología facial se ha convertido en una herramienta esencial en el campo de…
