Centro de Imágenes Dentales y Maxilofaciales en Quito
Imágenes precisas para diagnósticos seguros.
Tomografías 3D, Radiografías y estudios de ATM con tecnología avanzada para profesionales y pacientes.
Resultados claros, rápidos y confiables.
0k+
¿Necesitas agendar un estudio?
Estamos para ayudarte.
¡Los pacientes valoran nuestra atención esmerada y de calidad!
DIAGNÓSTICO CONFIABLE
Imágenes diagnósticas que generan confianza y precisión
En TAC Facial somos especialistas en imágenes 2D y 3D para odontología, cirugía maxilofacial y evaluación facial. Brindamos claridad diagnóstica en cada estudio, asegurando que profesionales y pacientes cuenten con información precisa para planificar tratamientos con seguridad.
Sobre nosotros
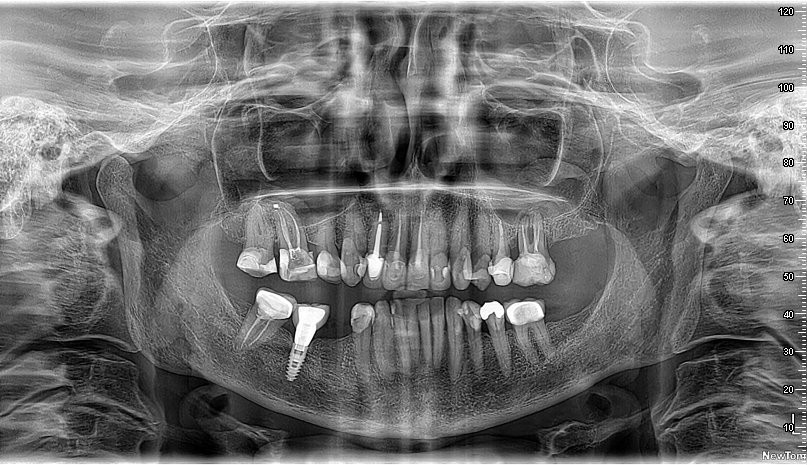
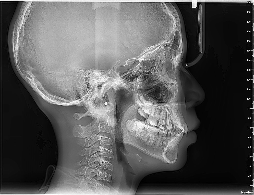
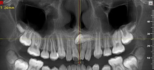
Imágenes 2D-3D Radiografías, Tomografías DENTAL, ATM, SPN, OIDO
Nuestra tecnología Cone Beam 3D permite visualizar estructuras óseas y dentales con alta definición, favoreciendo diagnósticos exactos y resultados clínicos confiables.




Excelente servicio
"Me realicé una tomografía para mi tratamiento de ortodoncia y quedé muy tranquila. El equipo fue amable y me explicaron todo el proceso. Recibí los resultados rápido y mi odontóloga dijo que la imagen estaba excelente para planificar mi tratamiento."
Lourdes Gómez
Excelent soporte
"Trabajo con TAC Facial para todos mis pacientes que requieren estudios de implantes. Las imágenes son claras, precisas y la entrega es muy rápida. Definitivamente aporta seguridad al diagnóstico."
Dr. Marcelo M.
Implantólogo
Imágenes de alta calidad
"Tenía molestias en la articulación de la mandíbula y me recomendaron hacerme una tomografía de ATM. El proceso fue rápido y profesional. Gracias a los resultados mi tratamiento fue más acertado."
Valeria Mena
Blogs sobre radiología en Quito
Descubre las últimas novedades
Preparación y procedimiento del examen TAC cervical: lo que debes saber
Un examen de tomografía axial computarizada (TAC) cervical es una herramienta de diagnóstico por imagen que permite a los médicos …
Los beneficios del examen TAC cervical: Descubre por qué es importante para tu salud
El examen TAC cervical es una herramienta médica importante que ayuda en el diagnóstico y manejo de diversas condiciones de …
¿Por qué es crucial realizarse un examen de tac macizofacial regularmente?
Un examen de tomografía computarizada (TAC) macizofacial es una herramienta diagnóstica esencial en la medicina dental y maxilofacial. Este procedimiento …
Los beneficios del examen de tac macizofacial para el diagnóstico dental
El examen de TAC macizofacial, o tomografía axial computarizada macizofacial, es una técnica de imagen avanzada que permite obtener imágenes …
¿Qué es el Tac dental maxilar y cómo puede ayudarte?
El Tac dental maxilar, también conocido como tomografía computarizada de haz cónico (CBCT, por sus siglas en inglés), es una …
¿Qué es el Tac Cervical y por qué es importante en Ecuador?
El TAC cervical, o tomografía axial computarizada cervical, es una técnica de imagen médica que utiliza rayos X para crear …








